矯正歯科診療についてご紹介しております
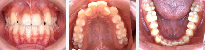
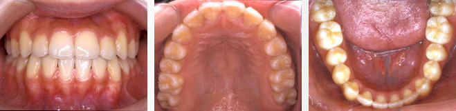
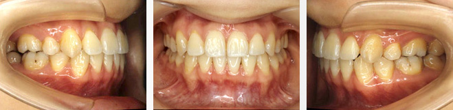
矯正治療の目的は、不自然な位置にある歯を動かして、
正しいかみ合わせと美しい歯並びを作り出すことです。
美しい歯並びになることで、多くのメリットがあります。


ご相談
ご相談
当院では矯正治療のご相談を、無料で行っております。
気になることがございましたら、お気軽にご相談ください。
お口の中と顎の位置や、筋肉のバランスなどを検査し、
総合的なお話をさせて頂きます。
その後、一般的な矯正治療の流れ、矯正料金に関してもお話いたします。



精密検査
精密検査
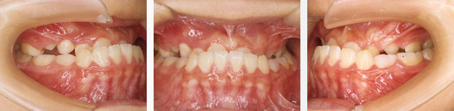
矯正治療を始める前に、明確な治療目標を定めるため、
お口の中の状態を全体的に把握します。
X線による診査やお口の模型を作製して、より詳しい分析を行います。



治療の内容のご説明
治療の内容のご説明
お口の中の状態と顎の位置、現在の歯並びになった原因等をご説明し、


矯正治療の開始
矯正治療の開始
患者様お一人お一人の状態にあった最善の方法で矯正治療を進めていきます。
個人差はありますが、おおよそ治療期間は永久歯の治療では
約2年〜2年半前後であり、子供の矯正治療では1年前後です。



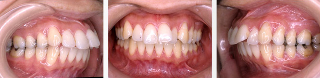
治療終了
治療終了
歯並びがきれいに整い、しっかり噛めるようになったところで装置をはずします。
しかし、そのまま放置してしまうと歯並びが戻ってきてしまうため、
歯を固定する装置を用います。



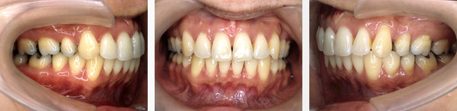
アフターケア
アフターケア
矯正治療の終了後も、あなたの笑顔を総合的にサポートいたします。
定期的に通院いただき、歯並びの状態を拝見させていただければと思います。
| 1:初診相談 |
| 0円 |
| 2:検査および診断 |
| 31,500円 |
|
| 3:小児矯正 | 3:成人矯正 |
| 315,000円 ・1度/1〜2ヵ月の来院 ・調節料:5,250円 永久歯萌え換わり後に矯正治療を 継続しない場合は、 ここで終了となります。 |
735,000円 ・1度/1ヵ月の来院 ・調節料:5,250円 ・期間:約2年 ・永久歯にワイヤーをつけます |
| 4:成人矯正 (永久歯萌え換わり後も矯正を継続する場合) |
|
| +420,000円 |
|
| 5:保定装置 | 4:保定装置 |
| 42,000円 ・メンテナンス 1度/数ヵ月の来院 ・約2年(使用時間を適宜変えながら) |
|









